Aligners

Designed by Orthodontists, Trusted by Dentists

Trained experts that guide you at every step of the treatment process

Learn more

Illusion Aligners!

A trusted Indian brand for fixing crooked teeth using clear aligners. Illusion Aligners are invisible aligners made by premium-quality thermoforming sheets called iTRACK and iMOVE.

Illusion Aligners

Why Illusion Aligners?

Authenticity

Authenticity

Illusion Aligners is a widely known Indian aligner company with a strong global presence and a track record of treating numerous cases successfully.

Biocompatibility

Biocompatibility

Illusion Aligners are completely safe and free from all risks, including short-term allergic responses and long-term adverse effects. With certifications for cytotoxicity, skin irritation, skin sensitization, and biocompatibility, you can trust that our aligners are effective and safe for your smile journey.

Innovative Design

Innovative Design

Illusion Aligners are made using advanced 3D technology. We use a special AI software called iMODIFY to plan and carry out your treatment. Our digital platform helps ensure excellent results while supporting treatment planning, 3D Virtual Setup, patient confirmation, and more.

Expertise

Expertise

Illusion Aligners are designed by our expert team of in-house orthodontists. They evaluate and plan treatment for each patient to help them get the best results possible!

What Are Clear Aligners?

Illusion Aligners offer a modern and hassle-free way to straighten your teeth. These aligners, also known as invisible or clear aligners, are transparent and provide a discreet way to improve your smile. They're great for fixing mild to moderately crowded teeth and spacing issues. Plus, they're quicker, more convenient, and smoother than traditional metal braces.

One of the multiple benefits about Illusion Aligners is that they're removable. You can take them out to eat whatever you want without any diet restrictions. This makes them very easy to incorporate into your daily life and maintain good oral hygiene.

With Illusion Aligners, both Orthodontists and General Dentists can easily provide the best teeth straightening treatment to their patients. It's a modern and innovative solution that's all about giving you the smile you've always wanted, without any hassle.

How Can You Get Your Set Of Clear Aligners?

Straightening your teeth is a dental treatment prescribed by an Orthodontist or a General Dentist. Before you start your aligner treatment, you'll need to visit a dental clinic for an examination. If there are any cavities or other dental issues, they'll be fixed first to ensure your aligner treatment goes smoothly and successfully.

Next, your Dentist will take digital scans of your mouth. These are sent to Illusion Aligners where customised aligners are made just for you. Once they're ready, they'll be sent back to your Orthodontist or Dentist, and you can begin your treatment right away.

The treatment time with aligners varies from person to person, depending on how severe the case is. But generally, it's quicker than traditional braces. So, you can look forward to getting the smile you want in less time!

How Do Clear Aligners Work?

Once you get your personalised set of aligners, your teeth straightening journey begins. These clear aligners gently push your teeth into place by applying light pressure consistently. To get the best results, you need to wear them for 22 hours every day throughout your treatment period.

You'll switch to a new set of aligners about every one or two weeks as your teeth gradually move to their desired positions. Once they're in the final positions, you'll need to wear a retainer as instructed in the treatment plan to maintain your new smile.

Clear Aligners offer an effective and hassle-free teeth straightening journey. They're a modern way to achieve your dream smile faster and more comfortably than ever before.

Do You Need Aligners?

Illusion Aligners is your go-to solution if you have misaligned, crooked, rotated, tipped, or incorrectly positioned teeth and want to improve your smile.

How Do Illusion Aligners Work?

Get a gorgeous smile with 4 easy steps!

If you're eligible for treatment, your Dentist will take digital scans of your mouth and send them to Team Illusion!

Visit your Dentist!

Get a glimpse of the future!

Experience a virtual preview of your future smile before your treatment starts. Our software crafts a 3D Virtual Setup of your teeth alignment journey, giving you a sneak peek of the results to come.

Once you agree to the suggested treatment, your Dentist will carry out the plan recommended by our team of expert Orthodontists.

Consent & execution

Get a box of smiles!

Your box of Illusion Aligners will arrive within a specific time period. In just a short while, you'll be able to enjoy your improved smile!

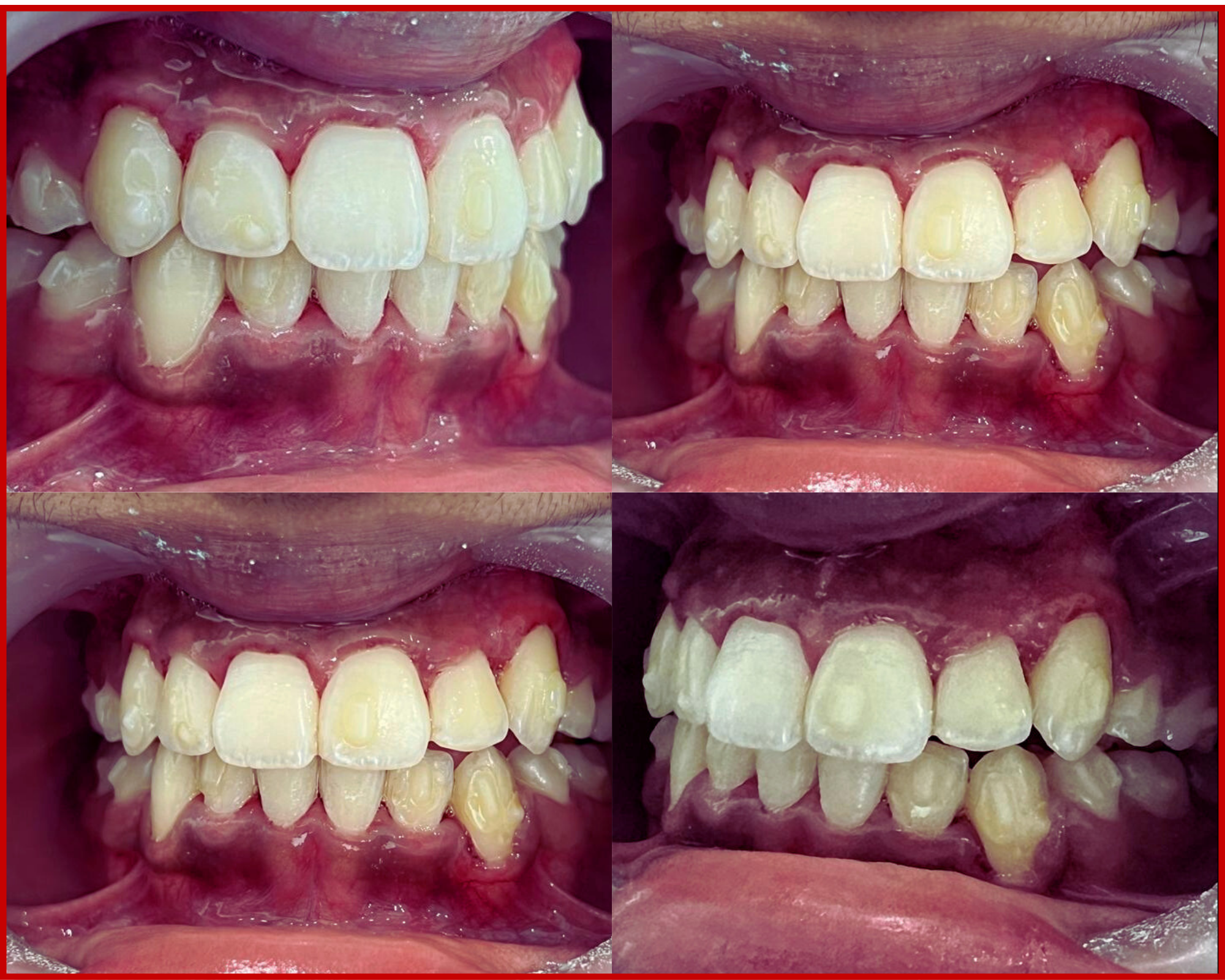
Case Study - Transforming Lives Using Illusion Aligners

Pre Treatment

Illusion Aligners

In Process

Illusion Aligners

Post Treatment

Illusion Aligners

Conclusion

Illusion Aligners

Case Overview

Category Details
Age 16
Gender Male
Concerns - Overlapping front teeth
- Difficulty chewing
- Dissatisfaction with smile aesthetics
Diagnosis Angle's Class 2 Division 1 malocclusion with severe crowding in both arches
Section Details
I. Diagnosis & Planning
Initial Findings Severe crowding in both arches, requiring extractions to create space
Goals - Sequential retraction of canines
- Alignment of both arches
- Symmetric overjet and overbite
II. Execution of Treatment
Duration 18 months
Steps - Premolar extraction to create space
- Use of 38 Illusion Aligners for upper and lower arches
- Precise anchorage control for efficient movement
III. Refinement Phase
Action Fine-tuned the occlusion and alignment
IV. Results
Outcome - Complete closure of spaces
- Symmetric and aesthetic smile
- Minimal or no anchor loss

Frequently Asked Questions

When it comes to teeth straightening, choosing an option that suits your needs well is the best advice. Metal braces have been one of the most common ways to straighten teeth. However, they exert more pain and cause discomfort during your treatment. On the other hand, Illusion Aligners work faster than braces and straighten your teeth more comfortably. Unlike metal braces, aligners are transparent and removable. These aligners do not impose any diet restrictions, nor do they disturb your daily routine. Illusion Aligners are the modern way to straighten your crooked teeth and reduce the gaps in teeth. They come with added benefits that offer you a flawless smile in a discreet way. To sum up, it is advisable to follow the advice of your dentist to help you choose between braces or aligners.

Over the past few decades, clear aligners have become a common alternative for aligning or straightening teeth. Clear aligners have a proven track record of successfully treating mild to moderate malocclusion cases. While traditional braces and transparent aligners can effectively cure malocclusion, clear aligners are superior in segmental tooth movement. They give a hassle-free smile transforming experience. Hence, they are becoming more popular with both doctors and patients.

Yes. Illusion Aligners are less painful than braces and offer a comfortable teeth straightening journey. Illusion Aligners exert mild pressure on your teeth to move them to the desired position over extended periods of time. They are custom-made with smoother edges and fit your teeth firmly, so pain is almost minimal. In addition, the transparent plastic trays do not cause any cuts or ulcers in your mouth, as in the case of metal braces. Illusion Aligners offers you a faster, more comfortable, and flexible treatment.

Yes, clear aligners can permanently improve your teeth's positioning. Clear aligners have the potential to achieve a lasting improvement in the positioning of your teeth. Consistent and proper wear of clear aligners throughout the recommended period is crucial for achieving enduring results. Adhering to the instructions is fundamental to attaining a beautiful and flawless smile. The desired outcomes and a transformed smile become apparent by the time you reach the final set of aligners. Finally, wearing retainers will be advised to maintain the correct alignment of your teeth.

Yes, teeth straightening treatment using Illusion Aligners can be easily provided by General Dentists as well as Orthodontists. Our in-house orthodontists will help the Dentists in resolving any issue or query they might have at any treatment stage.

Yes, at Illusion Aligners, our team consists of skilled Dentists, Orthodontists, and Certified Dental Technicians. They are dedicated to ensuring that the patients receive top-notch treatment from initial consultation to the completion of their care.

The cost of clear aligners varies according to the brand, treatment length, and case complexity. Clear aligners provide faster tooth straightening than others. Its removable design reduces the chance of cavities or tooth decay while helping to maintain good oral health during treatment. This, in turn, reduces the need for further dental appointments and speeds up the straightening process, lowering the overall total treatment cost. Illusion Aligners are Dentist-Directed aligners. The cost can be availed by a Dentist by contacting our Team.

In certain situations, noticeable results might be seen in as little as a few weeks. However, each person's experience will be unique, and the time taken in each case may be affected by the complexity of the case and it can last longer than the specified duration.

Would You Like To Become A Provider Of Illusion Aligners?

We Always Encourage Prospective Dentists To Join Team Illusion!

www.illusionaligners.com
+91 86579 13162