Case Study

Full Mouth Rehabilitation Case Using iBAR & Illusion Zirconia Dental Bridge

Courtesy: Dr. Rahul Oza

Moshe Skop, a New Zealand resident, had a severely damaged dentition. It was worn, discolored, structurally failing across both arches. This had left him unable to chew comfortably or smile with confidence. Dr. Rahul Oza chose iBAR with Illusion Zirconia Dental Bridge to deliver a fully fixed, full arch rehabilitation to last.

Key findings:

Upper arch:

  • Generalised bone loss and failing teeth.
  • Multiple missing teeth with not enough support for a conventional bridge.

Lower arch:

  • Heavily worn and discolored teeth
  • Missing back teeth on both sides

The patient desired a permanent and fixed solution. Removable denture was not an option.

Treatment approach

  • The upper arch was restored using a digitally milled titanium iBAR framework. It was topped with Illusion Zirconia Dental Bridge. This provided them with an extremely precise fit and long-term stability. (Fig: 3.1, 3.2)
  • The lower arch received a tooth supported Illusion Zirconia Dental Bridge for a more natural result. (Fig 4)

Occlusal view of maxillary implant fixtures (Fig 3.1) and the completed iBAR-supported Illusion Zirconia prosthesis (Fig 3.2).

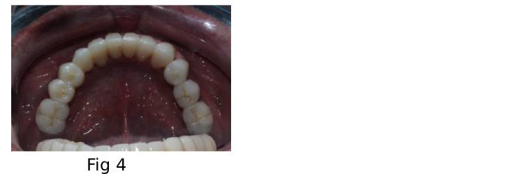
Occlusal view of the mandibular Illusion Zirconia Dental Bridge, demonstrating full-arch coverage and tissue adaptation.

Clinical challenge

Clinical challenge The iBAR + Illusion Zirconia Dental Bridge solution
High masticatory loads iBAR provides rigid titanium reinforcement to prevent prosthetic fracture.
Implant longevity It provides passive fit which eliminates the stress on implant-bone interface.
Phonetic comfort iBAR is not bulky. It allows for natural tongue space.
Gingival health Illusion Zirconia Dental Crown is biocompatible. This resists plaque buildup and keeps the gum healthy.

Clinical outcome

  • Bite stability and balance were fully restored.
  • Illusion Zirconia Dental Bridge provides a lifelike appearance.
  • Patient reported with high satisfaction in eating, speaking and smiling.

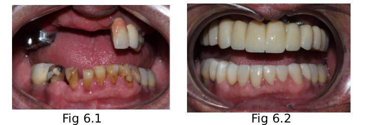
Before & After

Before treatment (Fig 6.1) After treatment (Fig 6.2)
Worn-out, stained and failing teeth Illusion Zirconia Dental Bridge has lifelike aesthetics. This gives not only a natural look but feels comfortable as well.
Missing back teeth Fully fixed teeth in both arches.
Poor facial structure The vertical dimension was fixed. This restored the sunken facial appearance.
Unable to chew properly Patient could eat everything with confidence.

This case is a clear example of how precise digital planning, the right materials and skilled execution come together to achieve outstanding full-arch outcomes.

For more details kindly contact us