Case Study

Bimaxillary Full-Mouth Implant Restoration with iBAR Framework

Dr. Bini Isaac

Credit: Dr. Bini Isaac

About the case:

A middle-aged patient reported severely worn-out, discolored teeth, poor occlusal balance, and loss of function. Both arches showed compromised dentition and multiple teeth concerns. The goal was complete functional and aesthetic rehabilitation with long-term stability and natural esthetics.

Diagnosis, Key Findings and actions

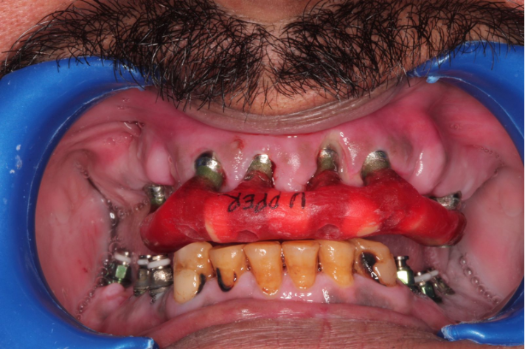
  • Maxilla (Upper Arch):

    Generalized spacing, mild protrusion, failing previous treatments, and bone loss. 6 implants strategically placed across the arch.
  • Mandible (Lower Arch):

    Heavily worn dentition, discoloration, and 6 implants for full-arch support.
  • Additional Findings:

    • Loss of occlusal stability
    • Tooth mobility
    • Stained and weakened enamel
    • Need for full-mouth rehabilitation with implant-supported prostheses
Result 1

Treatment Approach

A Bimaxillary Full-Mouth Implant Restoration was planned using a Titanium iBAR framework for stability, precision, and even load distribution, combined with Zirconia prostheses for enhanced esthetics and durability.

Advantage of iBAR

The digitally fabricated titanium iBAR has a liner design that connects all the implants in a line more efficiently. Also, the solid titanium blanks provide bulk free comfort with micron-level accuracy.

Advantage of Zirconia

The Zirconia acts as an enhancer for the durability of the prostheses with added benefit of strength and desired aesthetic.

Step-by-Step Treatment Workflow

Step Procedure Purpose / Outcome

Step 1

Digital Planning Accurate implant angulation and position

Step 2

Implant Placement Strategic placement in both arches

Step 3

CAD-CAM iBAR Design Lightweight, precise titanium substructure

Step 4

Trial & Passive Fit Verification Confirmed perfect seating and screw access

Step 5

Zirconia Prosthesis Layering Natural shade, translucency, and texture

Step 6

Final Prosthesis Delivery Restored function, esthetics, and confidence

Materials & Technology

  • Framework: Titanium iBAR with linear design
  • Restorative Material: Zirconia
  • Design Process: CAD-CAM precision milling
  • Retention: Screw-retained prostheses

Clinical Outcome

Restored occlusal balance and bite stability

Enhanced smile harmony and lifelike esthetics

Lightweight titanium ensures comfort

Zirconia ensures long-term durability

Patient regained chewing and speaking efficiency and confidence

Before & After Impact

Result 1

The worn, stained dentition was transformed into a stable, aesthetic, and functional zirconia prosthesis, combining Titanium precision with Zirconia durability for a truly redefined full-arch solution.

Conclusion

The fusion of Titanium iBAR and Zirconia prostheses, guided precisely, set a new benchmark in bimaxillary full-mouth implant rehabilitation.

This case exemplifies how technology, planning, and material science come together to deliver predictability, stability, and lifelike esthetics in complex restorative dentistry.

For more details kindly contact us